Connect With Us

Many individuals not well-versed in afflictions of the foot might already be familiar with corns, one of the most common foot conditions that affect a wide variety of people. Importantly, corns can develop in an individual when layers of thickened skin emerge on the feet, particularly the toes or soles of the feet. Corns will sometimes develop in response to applied pressure that can come from a shoe rubbing up against the feet. It is critical to know when corns become especially serious. Corns can become dangerous when they become painful in some way. Additionally, individuals who suffer from diabetes may be at an increased risk of experiencing complications with corns. If this applies to you, you might consider receiving immediate health attention. Contact a podiatrist today for more information.
If you have any concerns regarding your feet and ankles, contact Jeffrey Rosenblatt, DPM of New York. Our doctor will treat your foot and ankle needs.
Corns: What Are They? and How Do You Get Rid of Them?
Corns can be described as areas of the skin that have thickened to the point of becoming painful or irritating. They are often layers and layers of the skin that have become dry and rough, and are normally smaller than calluses.
Ways to Prevent Corns
There are many ways to get rid of painful corns such as wearing:
Treating Corns
Treatment of corns involves removing the dead skin that has built up in the specific area of the foot. Consult with Our doctor to determine the best treatment option for your case of corns.
If you have any questions please feel free to contact our office located in Brooklyn, NY . We offer the newest diagnostic and treatment technologies for all your foot and ankle needs.

The pain that is felt from the foot condition that is known as Morton’s neuroma cannot be ignored. It is an ailment that affects the nerve that is found between the third and fourth toes, and can happen from frequently wearing high heels. These types of shoes often lack adequate room in the toe area, limiting the room for them to move freely in. This may ultimately lead to irritation and inflammation of the nerves, often causing pain and discomfort. The tissue surrounding the nerve can become thick, and patients may feel a sharp or burning pain. Additionally, people who have this type of pain may liken the sensation to walking on a marble, and often look for relief. This can be found when appropriate shoes are worn, and it is beneficial to frequently rest the affected foot. Maintaining a healthy weight may help to take the stress off of the overall foot. If you believe that you may have this condition, it is strongly suggested that you consult with a podiatrist who can effectively diagnose and treat Morton’s neuroma.
Morton’s neuroma is a very uncomfortable condition to live with. If you think you have Morton’s neuroma, contact Jeffrey Rosenblatt, DPM of New York. Our doctor will attend to all of your foot care needs and answer any of your related questions.
Morton’s Neuroma
Morton's neuroma is a painful foot condition that commonly affects the areas between the second and third or third and fourth toe, although other areas of the foot are also susceptible. Morton’s neuroma is caused by an inflamed nerve in the foot that is being squeezed and aggravated by surrounding bones.
What Increases the Chances of Having Morton’s Neuroma?
Morton’s neuroma is a very treatable condition. Orthotics and shoe inserts can often be used to alleviate the pain on the forefront of the feet. In more severe cases, corticosteroids can also be prescribed. In order to figure out the best treatment for your neuroma, it’s recommended to seek the care of a podiatrist who can diagnose your condition and provide different treatment options.
If you have any questions, please feel free to contact our office located in Brooklyn, NY . We offer the newest diagnostic and treatment technologies for all your foot care needs.

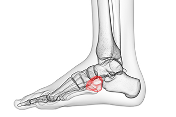
The foot condition known as cuboid syndrome is considered to be a partial dislocation of the cuboid bone. It is one of seven tarsal bones that are above the ankle on the outside of the foot, and it may move out of alignment between the heel and cuboid bone. This foot condition can occur after an ankle sprain has happened, or excess pressure for other reasons may cause cuboid syndrome. Additionally, weakened foot muscles may literally buckle under exertion, possibly causing this syndrome to occur. Many patients choose to have their cuboid bone manipulated back into alignment, or to have their foot taped to hold the bone in place. The foot can become stronger when specific exercises and stretches are performed, which may help to prevent future bouts with cuboid syndrome. If you have developed this condition, it is suggested that you consult a podiatrist as quickly as possible who can begin the correct treatment method for you.
Cuboid syndrome, also known as cuboid subluxation, occurs when the joints and ligaments near the cuboid bone in the foot become torn. If you have cuboid syndrome, consult with Jeffrey Rosenblatt, DPM from New York. Our doctor will assess your condition and provide you with quality foot and ankle treatment.
Cuboid syndrome is a common cause of lateral foot pain, which is pain on the outside of the foot. The condition may happen suddenly due to an ankle sprain, or it may develop slowly overtime from repetitive tension through the bone and surrounding structures.
Causes
The most common causes of cuboid syndrome include:
Symptoms
A common symptom of cuboid syndrome is pain along the outside of the foot which can be felt in the ankle and toes. This pain may create walking difficulties and may cause those with the condition to walk with a limp.
Diagnosis
Diagnosis of cuboid syndrome is often difficult, and it is often misdiagnosed. X-rays, MRIs and CT scans often fail to properly show the cuboid subluxation. Although there isn’t a specific test used to diagnose cuboid syndrome, your podiatrist will usually check if pain is felt while pressing firmly on the cuboid bone of your foot.
Treatment
Just as the range of causes varies widely, so do treatments. Some more common treatments are ice therapy, rest, exercise, taping, and orthotics.
If you have any questions, please feel free to contact our office located in Brooklyn, NY . We offer the newest diagnostic and treatment technologies for all your foot care needs.

Orthotics are defined as supportive insoles that provide bone and joint stability, in addition to soft tissue protection. Many patients with flat feet are interested in wearing orthotics, which may relieve this condition. Moving efficiently can be done by having the midfoot flex like a bow while adding shock absorption to the walking style, or gait. There are two types of flat feet consisting of rigid and flexible. Orthotics that have low arches are suggested for people who have rigid flat feet, and flexible feet are indicated when the arch appears while sitting. These individuals may benefit from wearing medium arch orthotics, so it is essential to know which type of flat feet you may have. Additionally, orthotics that have deep heel cups can help to protect the fatty pad that is found under the heel bone. This is generally inadequate in providing heel stabilization. Many people who have flat feet choose to wear orthotics for many reasons, and it is suggested that you confer with a podiatrist if you are interested in pursuing this form of relief.
If you are having discomfort in your feet and would like to try orthotics, contact Jeffrey Rosenblatt, DPM from New York. Our doctor can provide the care you need to keep you pain-free and on your feet.
What Are Orthotics?
Orthotics are inserts you can place into your shoes to help with a variety of foot problems such as flat feet or foot pain. Orthotics provide relief and comfort for minor foot and heel pain but can’t correct serious biomechanical problems in your feet.
Over-the-Counter Inserts
Orthotics come in a wide variety of over-the-counter inserts that are used to treat foot pain, heel pain, and minor problems. For example, arch supports can be inserted into your shoes to help correct overarched or flat feet, while gel insoles are often used because they provide comfort and relief from foot and heel pain by alleviating pressure.
Prescription Orthotics
If over-the-counter inserts don’t work for you or if you have a more severe foot concern, it is possible to have your podiatrist prescribe custom orthotics. These high-quality inserts are designed to treat problems such as abnormal motion, plantar fasciitis, and severe forms of heel pain. They can even be used to help patients suffering from diabetes by treating foot ulcers and painful calluses and are usually molded to your feet individually, which allows them to provide full support and comfort.
If you are experiencing minor to severe foot or heel pain, it’s recommended to speak with your podiatrist about the possibilities of using orthotics. A podiatrist can determine which type of orthotic is right for you and allow you to take the first steps towards being pain-free.
If you have any questions, please feel free to contact our office located in Brooklyn, NY . We offer the newest diagnostic and treatment technologies for all your foot care needs.
Connect With Us
